不带管,不挂袋,咸阳市中心医院肾结石手术越来越舒适
近日,59岁男子于先生向咸阳市中心医院泌尿外科送去一面锦旗,感谢医护人员治好了缠身20年的顽疾——肾结石。

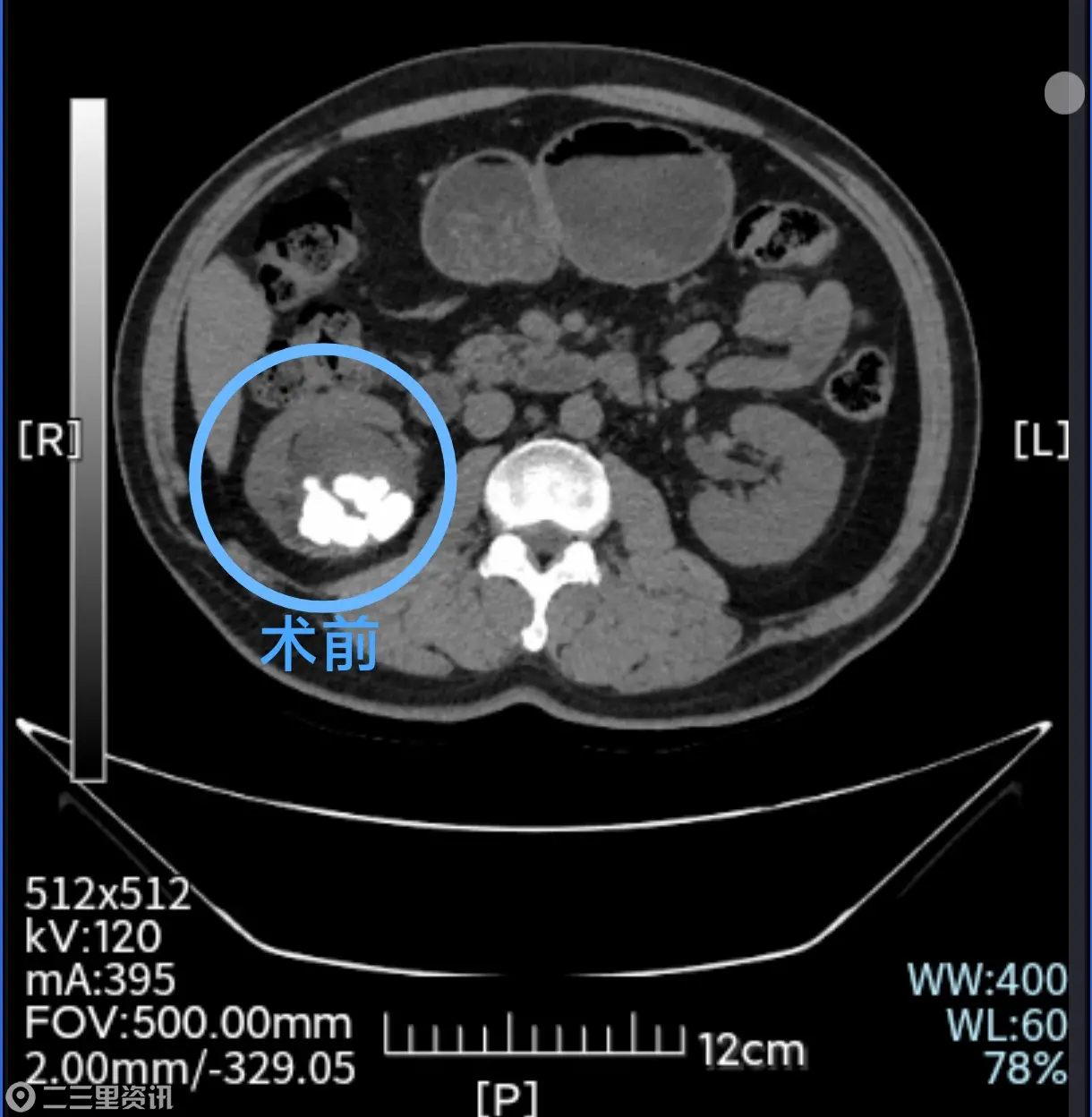
早在20年前,于先生在体检时就发现患有肾结石,当时接受了外科开放取石手术治疗,近期几个月上厕所持续出现血尿,CT检查显示肾盂复杂多发结石,最大的有2.1×2.0cm大小。

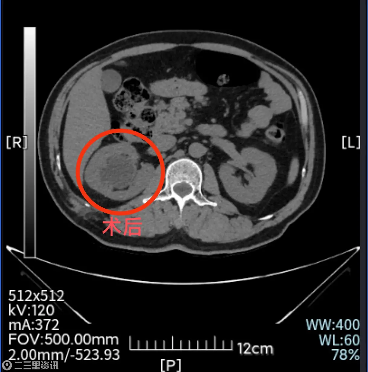
随后泌尿外科结石组张少杰团队为于先生实施了“无管化”的经皮肾镜激光碎石取石术(tubeless PCNL),手术创口仅1厘米,术中缝合一针并贴上创可贴,次日于先生即可正常下床活动,复查显示结石已彻底清除,对此于先生感觉非常满意,入院4天后即康复出院。

张少杰介绍,传统经皮肾镜术后要留置一根“管子”(肾造瘘管),外挂一个尿液引流袋(俗称“尿袋”),患者术后带着管子、袋子绝对卧床3日,从入院到手术康复一般需要一周左右时间,而当前科室成熟开展的“无管化”的经皮肾镜取石术后的“无管化率”已达60%,比肩国内顶尖医院结石治疗技术,该技术将传统手术带来的不适一扫而光,患者手术创伤小、住院时间短、身上也无任何管道束缚,治疗便捷性、舒适度极大提高。


张少杰强调,“无管化”技术并非适用于所有肾结石患者,需要经验丰富的泌尿外科团队进行严格术前评估,包括结石大小、位置、复杂性、肾脏解剖条件及患者全身状况等,同时术中精细操作和可靠止血是实现“无管化”的安全基石。
来源:咸阳市中心医院
精彩推荐
【飞阅陕西】带你飞阅三秦大地,这里是你的云端旅行向导
2026-11-30
燃爆!大荔县中小学生田径运动会开幕 荔乡少年嗨翻赛场
2026-04-15
半价、免票,4月15日起汉中多个景区有优惠,春假带娃游玩好去处!
2026-04-15
“戎耀三秦 职等你来” 达成初步就业意向1000余人
2026-04-15
吉利银河星耀8远航家西安上市,我耀打十个开启全民众测
2026-04-15
锦旗寄深情 医患暖人心——咸阳彩虹医院耳鼻咽喉科医护精心诊疗获患儿家属致谢
2026-04-15
国家级媒体关注丨二一五医院李超主笔科普文章获《健康中国》等权威媒体刊发
2026-04-15
走进红星软香酥集团,二一五医院助力“陕西老字号”安全生产!
2026-04-15
西安高新区开展经营主体登记文书及提交规范专题业务培训
2026-04-15
银担携手谱新篇!创新担保公司落地北京银行西安分行首笔“简担贷”业务
2026-04-15
保管好手机卡、银行卡等敏感信息 榆阳分局民警为你支招避雷!
2026-04-15
【直播测试】第六季榆林记者站直播
2026-04-15
准确区分劳务派遣与劳务外包 , 遇到问题可以精准维权
2026-04-15
破解两月顽疾!西安市儿童医院呼吸内镜精准“捉拿”罕见金属异物
2026-04-15
劳动者遭遇工伤或职业病怎么办
2026-04-15
晨雾里的芦笋直播间:00后兄妹返乡记
2026-04-15
“末位淘汰”涉嫌违法,律师详解是非曲直
2026-04-15
活力渭南 激情省运 共绘体育新篇
2026-04-14
激情省运,跃动三秦!陕西省十八运一起相聚渭南
2026-04-14
老陕的露营没有天花板,21岁小伙与伙伴露营吼秦腔
2026-04-14
榆林市市场监管公开征集市场监管领域违规异地执法、趋利性执法以及乱收费、乱罚款、乱检查、乱查封等问题线索
2026-04-14
南通市崇川区市场监管局赴宁强县开展爱心捐赠活动
2026-04-14
风云T9L全球上市,重新定义15万级混动SUV价值标杆
2026-04-14
本溪市动植物园一狮子瘦成皮包骨,园方:年纪较大,配偶离世受打击,目前正逐步恢复
2026-04-14
咸阳市第一人民医院重症医学科:在爱与希望的交汇点,守望不息,生命不止!
2026-04-14
新华保险30周年“健康季”活动启动 “健康多倍保庆典版”产品焕新上市
2026-04-14
筑梦山城五载路 赓续初心再出发 ——长城人寿重庆分公司成立五周年发展纪实
2026-04-14
吉利i-HEV智擎混动技术正式发布,重新定义新一代油电混动
2026-04-14
“春假像兜里的小奶糖”,一下课就开始盘算春假计划:风筝、漫画、零食
2026-04-13
千年羌韵遇上现代科技,千机共舞点亮汉中宁强夜空
2026-04-13
汉中首个中小学春假来啦, 4月15日至4月17日共3天
2026-04-13
4月14日—19日汉中市中心医院系列公益活动,多学科专家面对面免费问诊
2026-04-13
宁强联社助力县域文旅产业绽放新光彩
2026-04-13
西乡:36万亩春茶采收正酣 农商银行“链”上发力助上市
2026-04-13
汉中市环境监测中心站完成第一季度省控地表水环境质量自动监测站质控检查
2026-04-13
府谷县教体局举办教育名家办学智慧大讲堂
2026-04-13
府谷警方快速抓获一名网上逃犯
2026-04-13
荣耀首发预制龙虾AI智能体技术YOYO Claw 开创“养虾本”新品类
2026-04-13
全省煤炭行业新闻写作高级实训班在宝鸡扶风开班
2026-04-13
共建健康城镇 共筑健康防线——区卫健局开展第38个爱国卫生月活动
2026-04-13
