咸阳彩虹医院内科团队开展冠状动脉冲击波球囊钙化碎裂术
咸阳彩虹医院内科近日接诊了一位78岁的老奶奶,老奶奶长期被病痛缠身,平时,老奶奶只要进行轻度活动,便会出现胸痛、胸闷、气短的症状,严重影响了生活质量。老奶奶也曾尝试了多种治疗方案,可症状始终没有得到有效改善。
老奶奶最近常感到不舒服,来到咸阳彩虹医院内科就诊,内科副主任吕国辉接诊后,通过详细问诊、全面检查,结合临床症状,诊断老奶奶为心绞痛。为老奶奶实施冠状动脉造影检查,结果令人揪心:老奶奶冠状动脉存在重度狭窄,同时伴随严重钙化病变,血管条件极差。

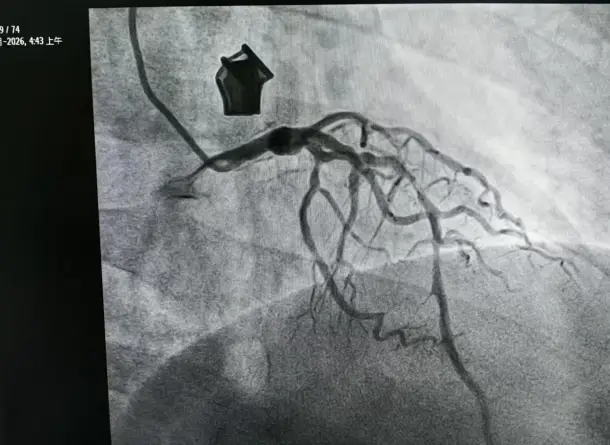
术前影像检查
考虑到老奶奶冠脉钙化呈现重度弥漫性分布,且血管内超声(IVUS)检查结果显示血管壁360 度环形钙化,如同坚硬的“石质血管”,常规介入手术中,普通球囊根本无法扩张钙化严重的血管,这无疑给介入治疗带来了巨大挑战。
面对这一棘手病例,吕国辉带领心血管介入团队迅速组织多学科会诊,反复研讨手术方案。经过团队严谨评估,最终决定采用目前国际上治疗严重冠脉钙化的前沿微创技术—— 冠状动脉冲击波球囊钙化碎裂术,为老人打通生命通道。

冠状动脉冲击波球囊钙化碎裂术,是当前心血管介入领域针对重度、环形、弥漫性冠脉钙化的突破性技术。它借鉴临床上“碎石” 原理,通过微创介入方式,将特制的冲击波球囊送至血管钙化病变处,在低压力扩张状态下,释放脉冲式声波能量,精准作用于血管内坚硬的钙化斑块,利用声波的机械应力逐层碎裂钙化组织,在不损伤正常血管内膜、不破坏血管结构的前提下,将原本如同“石头” 般僵硬的血管充分 “松绑、软化、扩张”,为后续支架植入创造安全、良好的血管条件。尤其适用于高龄、血管条件差、钙化严重、手术风险极高的复杂冠心病患者,是目前解决“石质血管” 难题的理想方案,代表了心血管介入微创治疗的先进水平。

整个手术过程中,吕国辉带领着介入团队精准操作,利用冲击波球囊释放的声波能量,精准击碎血管内360度环形坚硬钙化斑块,在不损伤血管内膜的前提下,成功将钙化的血管“松绑”扩张,打通了堵塞的冠脉血管,为老奶奶顺利完成治疗。

术后影像
术后第二天,老奶奶的胸痛、胸闷、气短等症状得到了改善,轻度活动时不再出现不适,老奶奶的脸上重新露出了久违的笑容。
此次高难度钙化冠脉介入手术的成功,不仅为高龄、复杂冠脉钙化病变患者带来了新生,也充分彰显了咸阳彩虹医院在心血管疾病诊疗领域的硬核实力。咸阳彩虹医院将继续紧跟医学前沿,用责任与担当守护广大群众的生命健康。
来源:咸阳彩虹医院
精彩推荐
慢走 消食 赏春光,三月来渭南郊野公园,吹春风 瞰视全城美景
2026-03-23
银发经济正当时 中国人寿多维守护绘晚晴
2026-03-23
西藏民族大学医学院院长石镜明莅临二一五医院开展教学督导工作
2026-03-23
二一五医院深入基层开展“科技之春”科普宣传活动
2026-03-23
咸阳彩虹医院召开2026年“三亮三比三评”活动 动员部署会暨党员突击队授旗仪式
2026-03-23
贵州赫章县发生小学生2死14伤事故 当地:不是校车 是小客车违法超员,49岁司机已被控制
2026-03-23
今晚国内油价大幅上调,渭南城区有加油站92号汽油缺货
2026-03-23
水润曲江绘新卷 护水同行守文脉——曲江池景区2026年“世界水日”“中国水周”主题活动启幕
2026-03-23
陕西移动长武分公司“AI天团”助阵“科技之春”央企科技资源赋能基层科普
2026-03-23
佳县公安局关于征集制售假劣肉制品及网络食品安全违法犯罪线索的通告
2026-03-23
府谷县开展第三十四届“科技之春”宣传月暨文化科技卫生“三下乡”活动
2026-03-23
略阳县人民医院科研工作取得里程碑式进展——首篇SCI论文诞生记
2026-03-23
靖边宇文路社区:文明实践暖人心
2026-03-23
府谷县教体局开通多渠道举报专线 受理校园餐等教育领域突出问题
2026-03-23
建行汉中城固县支行开展“3·15”金融 消费者权益保护教育宣传活动
2026-03-23
建行汉中分行营业部用专业为客户暖心兑换“火烧币”
2026-03-23
产教融合筑高地 电竞教育启新程
2026-03-23
汉中职业技术学院:智齿团队研发AI齿形设计系统
2026-03-23
西安东方超竞学院启动 西北地区首个“电竞+AI应用”特色产业学院落地成立
2026-03-23
男子买双汇火腿肠发现长钉,回应:已现场核查并赔偿
2026-03-22
世界就是一个巨大的陕西,小伙在泰国逛完了西安景点
2026-03-22
雨水充沛、温度适宜,春茶采摘较往年早,一天能采两三斤赚近百元
2026-03-22
把种发下去,把货收回来!天麻种植带动11村400多户增收,“平均收入两三万以上”
2026-03-22
从家庭作坊到11种产品,宁强羌乌天麻销往全国各地,省级非遗加持下产业做大做强
2026-03-22
渭南临渭区大棚羊肚菌上市啦
2026-03-22
渭南男子种植十几亩大棚羊肚菌
2026-03-22
烟火气比赛近日席卷西安 菜夹馍比赛、喝奶比赛、嗑瓜子比赛......
2026-03-21
这里车马很慢,人情味很浓,我把从汉江蜀河站带回来的故事,讲给你听
2026-03-21
心脏“总开关”面临破裂风险,“金标准”手术一次修复
2026-03-21
原来陕历博的金碗文创可以这么用!
2026-03-21
沣西吾悦菜夹馍大赛正式开赛!看最后“大馍王”是谁?
2026-03-21
【3·15现场查】突查汉中自助烤肉店榜首金喜家
2026-03-20
3月20日起,城固湑水大桥至汉中吾悦广场便民快巴开通
2026-03-20
杨凌双交会开幕 会期三天(20—22日)快去杨凌赏鲜花选绿植尝水果
2026-03-20
南关区借势长春大冬会 打造沉浸式文旅新体验
2026-03-20
一粒油菜种子的“芯”征程——来自国家油菜制种大县的蹲点观察
2026-03-20
最美油菜花海汉中春季文化旅游季南郑区系列活动启幕,22项特色活动包圆你的春天
2026-03-20
2026最美油菜花海汉中春季文化旅游季南郑区系列活动启幕
2026-03-20
终于看到理想车主视频的后续了!
2026-03-20
小肠梗阻8天!一根“微创”导管,精准打开82岁大爷的“生命通道”
2026-03-20