小肠梗阻8天!一根“微创”导管,精准打开82岁大爷的“生命通道”
腹痛腹胀、无法进食、不能排便——82岁的王大爷被肠梗阻折磨得奄奄一息。常规保守治疗收效甚微,外科手术又因高龄体弱难以耐受,生命陷入两难。
生命危急时刻,陕西省核工业二一五医院肿瘤外科二病区贺伯伟主任团队全盘考量、另辟蹊径,成功开展院内首例DSA引导下肠梗阻导管置入术,用一根导管微创打通老人的“生命通道”。从入院到出院,仅用十几天,王大爷便重获健康。
一、两难境地:常规治疗无效,手术又扛不住

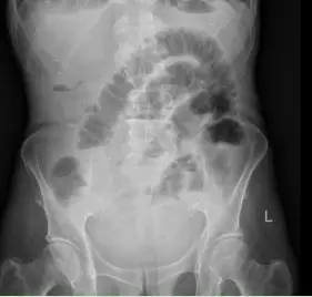
王大爷因腹痛、腹胀一周,伴呕吐、停止排气排便四天,被紧急送入我院肿瘤外科二病区。经影像学检查,王大爷被明确诊断为低位小肠梗阻。这意味着梗阻发生在小肠末端,肠道内容物完全无法下行,大量消化液和气体在肠腔内积聚,肠壁被持续撑胀,随时可能缺血坏死、穿孔,引发致命性腹腔感染。
入院后,贺伯伟主任团队立即为王大爷采取禁食禁水、胃管减压、抑酸等常规保守治疗措施。但几天过去,老人的症状始终没有明显改善,腹胀、腹痛较前加剧。经院内相关科室会诊,认为王大爷年事已高,还合并多种基础疾病及食管肿瘤,整体身体状况较差,根本无法耐受常规外科手术的创伤,同时家属也不愿承担手术风险。
一边是保守治疗无效,一边是手术风险太高——治疗陷入两难。
一、另辟蹊径:一根导管精准解困

针对王大爷的复杂情况,贺伯伟主任多次组织科室讨论,全面评估老人的身体状况和病情严重程度及手术耐受度,最终决定采用一个突破性方案——DSA引导下肠梗阻导管置入术。这是一种微创介入技术,在数字减影血管造影的实时引导下,将一根细长的导管经鼻腔送入肠道,精准抵达梗阻部位上方,直接吸引积聚的肠内容物。既能快速减压,又避免了开刀手术的巨大创伤。
2月11日,手术顺利开展。贺伯伟主任与王志斌副主任医师凭借精湛技术,在DSA引导下精准操作,将导管稳稳置入预定位置。全程严谨把控每一个环节,确保导管位置准确无误。最终,手术顺利完成,老人的“关键通道”被重新打通。
一、重获健康:十几天,从病危到出院

导管开始工作后,积聚的肠内容物被持续引出,腹胀腹痛的症状一天天缓解。老人的肠道功能慢慢恢复,复查腹平片显示梗阻情况明显好转。在护理团队的精心照料下,老人从卧床不起到能下地活动,从禁食禁水到逐渐恢复饮食,一天天好起来。2月24日,王大爷顺利出院,重新回归了正常生活。

康复出院后,王大爷和家人特意为肿瘤外科二病区送来一面锦旗,上面写着:“精湛医术驱病魔,高尚医德暖人心”。在这场与病痛的较量中,肿瘤外科二病区的医护团队用精湛的医术和细致照护,为这位高龄患者解除了病痛,助他重拾健康与希望。
【科普】DSA下肠梗阻导管置入术:肠梗阻诊疗的新选择
肠梗阻是普通外科常见急腹症,病因复杂、病情多变,典型表现为腹痛、腹胀、停止排气排便,严重时可危及生命。DSA下肠梗阻导管置入术,是近年来肠梗阻非手术治疗的重要进展,其核心优势在于:
一是快速减压。导管可精准抵达梗阻部位上方,直接吸引积聚的肠内容物,迅速缓解腹痛、腹胀症状,多数单纯性粘连肠梗阻患者可避免手术创伤。
二是精准定位。通过DSA实时显影,能准确判断梗阻部位和程度,为后续治疗提供科学依据。
三是多功能应用。导管还可用于中药灌洗、肠内营养支持等,降低手术难度,预防再次梗阻。即使对于晚期肿瘤性梗阻失去手术机会的患者,也能有效改善症状、提升生活质量。
预防肠梗阻,日常需注意饮食清淡易消化、保持排便通畅,一旦出现腹痛、腹胀、停止排气排便等症状,务必及时就医。陕西省核工业二一五医院肿瘤外科二病区将以先进技术为支撑,为您的胃肠健康保驾护航。
来源:二一五医院
精彩推荐
终于看到理想车主视频的后续了!
2026-03-20
靖边县清华路小学:研学实践润童心
2026-03-20
从"信号满格"到"健康在线" 三原移动书写民生答卷
2026-03-20
咸阳彩虹医院召开2026年全面从严治党工作会议
2026-03-20
咸阳彩虹医院召开2026年第一季度党建工作例会暨党建“铸魂”工程动员部署工作会
2026-03-20
礼泉县自然资源局举办习近平法治思想暨行政执法专题培训会
2026-03-20
好好读书 奖励小猪 这位支教老师用11年教会山里娃读书意义与劳动尊严
2026-03-20
早春限定浪漫上线!高新红叶李盛放 邂逅一城温柔春光
2026-03-20
2025年杨凌全区工贸行业实现零生产安全事故
2026-03-20
靖边:聚力文明实践 共建美好家园
2026-03-20
“水清了,能正常使用了”,龙背街道自来水饮水工程项目计划6月开工
2026-03-20
邮储银行宁强县支行:普及金融知识 保护消费者权益
2026-03-20
汉中职业技术学院:智齿团队研发AI齿形设计系统
2026-03-20
府谷公安多维发力筑牢校园安全屏障
2026-03-20
镇巴农商银行驻村工作队开展“3·15”金融 消保宣讲进乡村活动
2026-03-20
六旬老人突发晕厥 西乡农商银行员工火速救援转危为安
2026-03-20
宁强联社大安信用社零距离服务商户
2026-03-20
登过华山,才懂真正震撼人心的不是风景,人间最了不起的,永远是认真活着的普通人
2026-03-19
花椒地被挡70多棵树无法耕种(二),镇政府联合交通局现场解决
2026-03-19
谁上班都会被吸干 哪怕是机器人!
2026-03-19
长城人寿创新终身寿险产品,以高科技推动投保公平
2026-03-19
内蒙古爆炸公司上月刚签安全责任状
2026-03-19
博主记录婆婆为自己悉心准备便当
2026-03-19
阿拉善一公司硝化车间爆炸致3伤2失联,涉事公司经营危化品,周边居民称有震感,提醒沙坡头游客尽快远离
2026-03-19
渭南6岁女孩看到爸爸雨天送外卖哭了,爸爸:感觉孩子懂事了
2026-03-19
泰康人寿【以案说险】专栏 什么是宽限期?
2026-03-19
在乍暖还寒的初春, 播一颗温暖人心的种子—— 中国银行安康火车站支行上门服务
2026-03-19
中国石油长庆油田采油三厂以严实作风筑牢安全发展根基
2026-03-19
靖边宣传工作者如何“讲理” ——把道理讲清、把学理讲深、把哲理讲透
2026-03-19
南郑税务:一窗通办提升税费服务效能
2026-03-19
这份投诉竟是给宁强政府的点赞
2026-03-19
农行勉县支行警银联动拦截一起老年群体涉诈办卡事件
2026-03-19
好浪漫!西工大博士毕业典礼上求婚
2026-03-19
汉滨公安:聚力攻坚除隐患 缉捕追逃显成效
2026-03-19
号称“官方授权”的免费ETC花69元收到后还得再交360元
2026-03-19
礼泉:以集中整治攻坚为抓手 办好群众身边的“关键小事”
2026-03-19
西安翻译学院第四届教职工代表大会暨工会会员代表大会第一次全体会议圆满召开
2026-03-19
重点专科推介|咸阳一院神经内科:匠心铸技,托起脑血管病的生命方舟
2026-03-19
陕中附院:一面锦旗映初心 中西医助孕圆“母亲梦”
2026-03-19
陕中附院检验科临床基因扩增检验实验室通过省级技术审核
2026-03-19